
mRNA修饰酶METTL3/METTL14在核仁的相分离结构维持中发挥重要作用

论文发表相关信息:
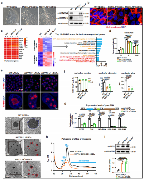
METTL3/METTL14 maintain human nucleoli integrity by mediating SUV39H1/H2 degradation. Nat Commun. 2024 Aug 21;15(1):7186.
关键技术支撑:流式分选、FRAP成像技术、透射电镜成像技术
发现氧化还原调节的 SNX25:作为内体中 G 蛋白偶联受体(GPCR)- G 蛋白信号传导的新型调节因子

论文发表相关信息:
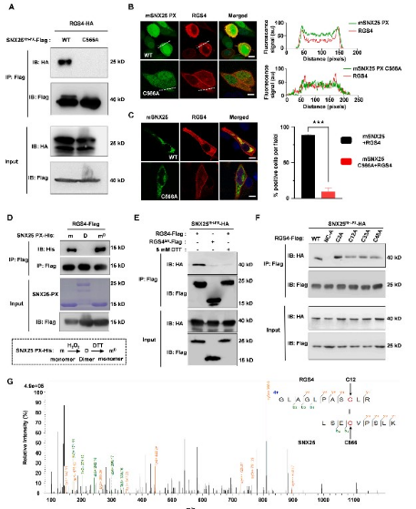
Redox-modulated SNX25 as a novel regulator of GPCR-G protein signaling from endosomes. Redox Biol. 2024 Sep;75:103253.
关键技术支撑:蛋白质组学、光学成像技术
发现一种CBP/p300 降解剂XYD129 用于治疗急性髓性白血病

论文发表相关信息:
Discovery of a Promising CBP/p300 Degrader XYD129 for the Treatment of Acute Myeloid Leukemia. J Med Chem. 2024 Jun 13;67(11):9194-9213.
关键技术支撑:化合物纯度、化合物分子量、核磁技术
发现ATG7是一种关键的自噬因子,对于人类骨髓生成过程中MP的快速增殖至关重要

论文发表相关信息:
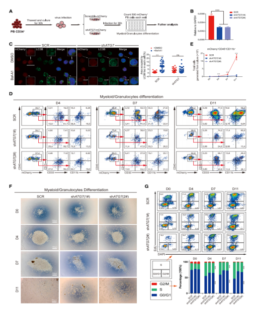
Autophagy is essential for human myelopoiesis. Stem Cell Reports. 2024 Feb 13;19:1-15.
关键技术支撑:电穿孔、高速离心机、荧光定量PCR仪、生物学X射线辐照仪、流式分析
VL6-57轻链编码人群抗体促使新冠病毒奥密克戎变异株产生的分子机制


论文发表相关信息:
Cryo-EM structures of Thogoto virus polymerase reveal unique RNA transcription and replication mechanisms among orthomyxoviruses. Nat Commun. 15, Article number: 4620 (2024) .
关键技术支撑:单颗粒冷冻电镜
补充描述

论文发表相关信息:
Generation of a humanized mesonephros in pigs from induced pluripotent stem cells via embryo complementation. Cell Stem Cell. 2023 September 7; 30:1235-1245.
关键技术支撑:病理技术、病理图片采集分析
技术支撑成果
Shan Y, Zhang Y, Wei Y, Zhang C, Lin H, He J, Wang J, Guo W, Li H, Chen Q, Zhou T, Xing Q, Liu Y, Chen J, Pan G. METTL3/METTL14 maintain human nucleoli integrity by mediating SUV39H1/H2 degradation. Nat Commun. 2024 Aug 21;15(1):7186.
Yang L, Ruan Z, Lin X, Wang H, Xin Y, Tang H, Hu Z, Zhou Y, Wu Y, Wang J, Qin D, Lu G, Loomes KM, Chan WY, Liu X. NAD+ dependent UPRmt activation underlies intestinal aging caused by mitochondrial DNA mutations. Nat Commun. 2024 Jan 16;15(1):546.
Zhang C, Shan Y, Lin H, Zhang Y, Xing Q, Zhu J, Zhou T, Lin A, Chen Q, Wang J, Pan G. HBO1 determines SMAD action in pluripotency and mesendoderm specification. Nucleic Acids Res. 2024 May 22;52(9):4935-4949.
Wu T, Hu J, Zhao X, Zhang C, Dong R, Hu Q, Xu H, Shen H, Zhang X, Zhang Y, Lin B, Wu X, Xiang Q, Xu Y. Discovery of a Promising CBP/p300 Degrader XYD129 for the Treatment of Acute Myeloid Leukemia. J Med Chem. 2024 Jun 13;67(11):9194-9213. doi: 10.1021/acs.jmedchem.4c00335. Epub 2024 Jun 3. PMID: 38829718.
Chen X, Huang X, Ma Q, Kuzmič P, Zhou B, Zhang S, Chen J, Xu J, Liu B, Jiang H, Zhang W, Yang C, Wu S, Huang J, Li H, Long C, Zhao X, Xu H, Sheng Y, Guo Y, Niu C, Xue L, Xu Y, Liu J, Zhang T, Spencer J, Zhu Z, Deng W, Chen X, Chen SH, Zhong N, Xiong X, Yang Z. Preclinical evaluation of the SARS-CoV-2 Mpro inhibitor RAY1216 shows improved pharmacokinetics compared with nirmatrelvir. Nat Microbiol. 2024 Apr;9(4):1075-1088.
Zhang S, Zhai M, Xu Y, Han J, Chen J, Xiong Y, Pan S, Wang Q, Yu C, Rao Z, Huang X, Fan W, Sun J, Yang J, Zhang Y, Wang Q, Li P, Zhang Y, Zhang S, Li H, Wang J, Feng L, Zhao J, Chen L, Qu L. SARS-CoV-2 induces cardiomyocyte apoptosis and inflammation but can be ameliorated by ACE inhibitor Captopril. Antiviral Research. Volume 215, July 2023.
Cui Y, Yuan T, Wang Y, Zheng D, Qin L, Li S, Jiang Z, Lin S, Guo W, Wang Z, Liang Z, Li Y, Yao Y, Liu X, Tang Q, Tu HY, Zhang XC, Tang Z, Wong N, Zhang Z, Qin D, Thiery JP, Xu K, Li P. T lymphocytes expressing the switchable chimeric Fc receptor CD64 exhibit augmented persistence and antitumor activity. Cell Rep. 2023 Jul 25;42(7):112797.
Zhang S, Zhai M, Xu Y, Han J, Chen J, Xiong Y, Pan S, Wang Q, Yu C, Rao Z, Sun Q, Sui Y, Fan K, Li H, Guo W, Liu C, Bai Y, Zhou J, Quan D, Zhang X. Decellularised spinal cord matrix manipulates glial niche into repairing phase via serglycin-mediated signalling pathway. Cell Prolif. 2023 Sep;56(9):e13429
Wu Y, Chen K, Li L, Hao Z, Wang T, Liu Y, Xing G, Liu Z, Li H, Yuan H, Lu J, Zhang C, Zhang J, Zhao D, Wang J, Nie J, Ye D, Pan G, Chan WY& Liu X. Plin2-mediated lipid droplet mobilization accelerates exit from pluripotency by lipidomic remodeling and histone acetylation. Cell Death Differ. Published: 25 May 2022.
Li P, Wang Q, He Y, Yang C, Zhang Z, Liu Z, Liu B, Yin L, Cui Y, Hu P, Liu Y, Zheng P, Wang W, Qu L, Sun C, Guan S, Feng L, Chen L. Booster vaccination is required to elicit and maintain COVID-19 vaccine-induced immunity in SIV-infected macaques. Emerg Microbes Infect. 2023 Dec;12(1):e2136538.
Chen M, Shi H, Gou S, Wang X, Li L, Jin Q, Wu H, Zhang H, Li Y, Wang L, Li H, Lin J, Guo W, Jiang Z, Yang X, Xu A, Zhu Y, Zhang C, Lai L, Li X. In vivo genome editing in mouse restores dystrophin expression in Duchenne muscular dystrophy patient muscle fibers. Genome Med. 2021 Apr 12;13(1):57.
Xu Y, Zhou J, Liu C, Zhang S, Gao F, Guo W, Sun X, Zhang C, Li H, Rao Z, Qiu S, Zhu Q, Liu X, Guo X, Shao Z, Bai Y, Zhang X, Quan D. Understanding the role of tissue-specific decellularized spinal cord matrix hydrogel for neural stem/progenitor cell microenvironment reconstruction and spinal cord injury. Biomaterials. 2021 Jan;268:120596.
Wang Q, Xiong Y, Zhang S, Sui Y, Yu C, Liu P, Li H, Guo W, Gao Y, Przepiorski A, Davidson AJ, Guo M, Zhang X. The Dynamics of Metabolic Characterization in iPSC-Derived Kidney Organoid Differentiation via a Comparative Omics Approach. Front Genet. 2021 Feb 10;12:632810.
Guo W, Wang Q, Pan S, Li J, Wang Y, Shu Y, Chen J, Wang Q, Zhang S, Zhang X, Yue J. The ERK1/2-ATG13-FIP200 signaling cascade is required for autophagy induction to protect renal cells from hypoglycemia-induced cell death. J Cell Physiol. 2021 Oct;236(10):6932-6947.
Kuang J, Zhai Z, Li P, Shi R, Guo W, Yao Y, Guo J, Zhao G, He J, Xu S, Wu C, Yu S, Zhou C, Wu L, Qin Y, Cai B,Li W, Zeng M, Li C, Chu S, Yang T, Wang B, Cao S, Li D, Zhang X, Chen J, Liu J, Pei D. SS18 is a critical regulator at the pluripotent-somatic interface. Nat Commun. 2021 Jul 2;12(1):4090.
Long Q, Zhou Y, Wu H, Du S, Hu M, Qi J, Li W, Guo J, Wu Y, Yang L, Xiang G, Wang L, Ye S, Wen J, Mao H, Wang J, Zhao H, Chan WY, Liu J, Chen Y, Li P, Liu X. Phase separation drives the self-assembly of mitochondrial nucleoids for transcriptional modulation. Nat Struct Mol Biol. 2021 Nov;28(11):900-908.
Xu X, Guo W (equal contribution), Pan S, Zhang Y, Gao F, Wang J, Zhang S, Li H, Wang R, Zhang X. TILRR (FREM1 isoform 2) is a prognostic biomarker correlated with immune infiltration in breast cancer. Aging (Albany NY). 2020 Oct 8;12(19):19335-19351.

